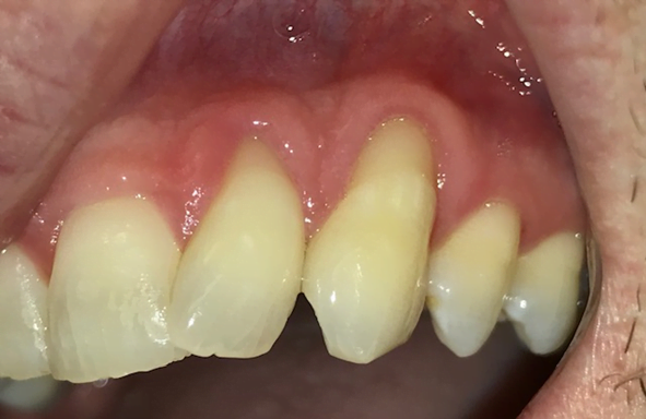
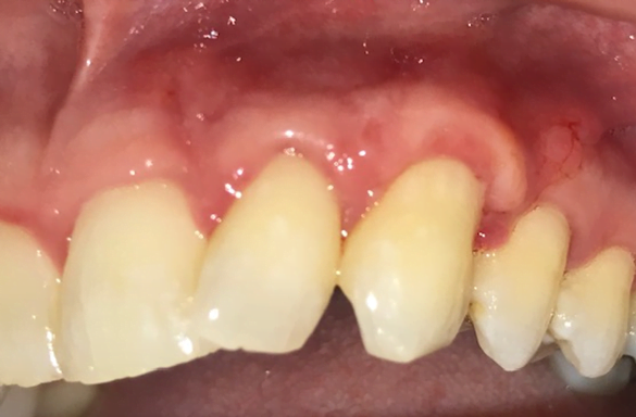
Why Gum Grafting?
Gum grafting is a dental procedure conducted by Dr. Rivas and his team designed to restore the health and aesthetics of receding gums. Receding gums can cause various dental problems, including tooth sensitivity, tooth loss, and diminished self-confidence.
It involves taking tissue from one area of your mouth (the donor site) and placing it over the affected area (the recipient site). The purpose of this procedure is to strengthen and protect the exposed roots, enhance gum coverage, and improve the overall appearance of your smile.


Schedule an appointment with us today!
If you’re experiencing gum recession, consult with Dr. Rivas and his team to determine if gum grafting is the right solution for you. Reclaim your confident smile and enjoy the numerous advantages that gum grafting has to offer!
By choosing Dr. Rivas and his team at Rivas Periodontics for your gum grafting needs, you can expect expert care, customized treatment, and a patient-centered approach.
Their commitment to excellence in periodontics and their dedication to your oral health and satisfaction make them a trusted choice for gum grafting procedures.



